Pneumonyssoides caninum jeton ne kavitetin nazal dhe në sinuset paranazale tek qeni. Infeksioni është raportuar duke filluar që nga vendet tropikale dhe deri ato skandinave.
Etiologjia dhe Epidemologjia:
Pneumonyssoides caninum e njohur ndryshe si paraziti i hundës tek qeni, është raportuar gjithashtu dhe tek dhelpra gri. Nuk ka të dhëna për rracën e qenit, seksin apo moshën, që është më shumë i predispozuar të preket nga Pneumonyssoides, gjithsesi vihet re se rastet më të raportuara janë qentë që janë më të vjetër se 3 vjeç dhe duket se rracat e mëdha janë më të prekshme sesa rracat e vogla.
Paraziti jeton në kavitetin nazal dhe në sinuset paranazale.Jeta e plote e ciklit te jetës të Pneumonyssoides caninum është ende e panjohur plotësisht.Transmetimi mendohet se bëhet në mënyrë direkte nga kontakti midis qenve.Nuk ka akoma asnjë evidencë që të tregojë se ky organizëm është një rrezikshmëri zoonoze.
Shënjat klinike:
Shënjat që hasen më shpesh janë teshtima, rrjedhje nga hundet, gjakderdhje nga hunda, prurit i fytyrës, vështirësi ne frymëmarrje etj.Theksojmë se këto shënja nuk hasen vetëm tek parazitet e hundës por dhe në problem e aparatit të frymëmarrjes.
Diagnoza:
Diagnoza diferencuese duke u bazuar në shënjat klinike , duhet bërë me rhinitet (idiopatike, infeksionet sekondare, fungale), neoplasia oro/nazale, semundjet dentale (fistulat oro/nazale), trupat e huaj ne kavitetin nazal, ose paraliza e laringut.
Mirë është të kryen disa radiografi të kavitetit oro/nazal .Një egzeme e laringut gjithashtu mund të përfshihet nëse shënjat janë të njëjta me sëmundjet e laringut .Tomografia na jep një pamje të qartë të kavitetit nazal dhe sinuseve paranazale.Proçedurat si rhinoskopi, shplarje e kavitetit të hundës duhet të shtyhet deri pas kryerjes së radiografive pasi ndryshimet që mund të ndodhin mund të na vështirësojnë dallimin e sëmundjes primare.
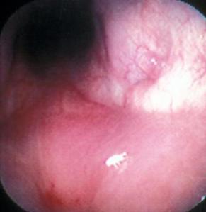
Rinoskopia dhe shplarja e kavitetit nazal janë një vegël e rëndësishme.Një riniskop fleksibel (elastic) futet ne hapesiren nazale.Duke shtyrë me kujdes arrihet të shihet deri ne nazofaringun e pacientit.Disa autore rekomandojne futjen(lëshimin me pak presion) e oksigjenit në kavitet kështu që parazitët migrojnë drejt nazofaringut dhe endoskopit duke bërë të mundur më lehte dallimin e parazitit.
Shplarja e kavitetit nazal është gjithashtu një ndihmë e madhe në gjetjen P.caninum.
Kjo proçedurë zakonisht kryhet kur pacienti është nën anestezi të plotë dhe duke vendosur një tube endotrakeale . Duke përdorur një kateter të përshatshëm ( mund ta përshtatim në varësi të madhësisë së pacientit) bëjmë shplarjen e kavitet me seline.Kjo mënyrë do të bëje shplarjen e parazitëve të cilët mund ti shohim në serum (pas shplarjes) me anën e një lenteje zmadhuese.
Diagnoza përfundimtare mund të jepet pasi mundim të shohim parazitat ne ednoskopi ose në shplarjen e kavitetit.Gjithsesi kjo nuk na bën të qartë nëse P.caninum është problem primar apo sekondar.
Trajtimi:
Për momentin nuk ka asnjë medikament i cili te jetë aprovuar për tu përdorur për trajtimin e P.caninum, gjithsesi ivermectin (200-400 mcg, SC ose PO) dhe milbemycin oxime (1mg/kg , PO , 3 here ne interval 10 diteshe nga njeri-tjetri) rekomandohen për trajtimin.Trajtimi është raportuar me nje efikasitet më të madh se në rreth 85 % të rasteve dhe prognoza ka qëne e shkëlqyer.Trajtimi mund të mos i zhdukë shënjat përfundimisht ( sidomos në rastet kur diagnoza mendohet dhe nuk është plotësisht e qartë se është P.caninum ).Në këto raste ka shumë mundësi që të kemi një diagnozë tjetër konkurente si psh sëmundjet e aparatit të frymëmarrjes. Shumica e rasteve janë trajtuar bazuar në diagnostikimin definitiv, por kemi dhe rastet kur trajtimi bazohet gjithashtu në një indeks të lartë dyshimi.
Përgatiti materialin Dr Atalvin Zhiva.
Nuk lejohet ripublikimi i këtij materiali pa lejën e redaksisë . Ripublikimi i këtij materiali pjesërisht apo i plotë është i ndaluar të botohet pa lejen e marrë nga redakisa e revistës”Veterinerët”. Ju lutemi në çdo rast citimi apo reference nga ky tekst, shënoni linkun përkatës në veterineret.com
